
Case Studies
Case Study 1 - Tongue Tie Release
This is a 17-year-old female that presented with a lot of jaw shifting, popping, and limited opening. She had a forward head posture, a nail-biting habit, and a lot of upper body and neck tension. The release of the tethered oral tissue of the lingual frenum was just the start to her achieving a full range of motion of the jaw and normal oral resting postures through a series of therapeutic techniques with other bodywork professionals to relieve her upper body strain as well.
Before Tongue Tie
After Tongue Tie Release
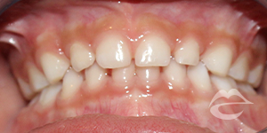
Case Study 2 - OMT & Orthodontics
This is a 7-year-old girl that presented with tongue/lip placement and swallowing pattern issues. She was referred by her orthodontist to OMT before orthodontics to ensure stability after orthodontic treatment. Her dental bite was the result of allergies, low tongue posture, and pacifier use. Therapy consisted of several phases to ensure proper oral resting and swallowing patterns that are necessary for long term habituation and stability of her orthodontic treatment.
Before OMT
After OMT
Case Study 3 - Orthognathic Jaw Surgery
This 19-year-old patient was referred by his orthodontist for an open bite that occurred 2 weeks after his upper and lower jaw surgery. Following the surgery, his teeth were perfectly inline but his tongue thrust opened the space causing a relapse. He had a very low tongue posture and open mouth lip posture with a forward tongue swallow pattern. He was able to correct his tongue and lip postures along with correcting his swallow pattern ensuring long-lasting stability of his orthodontic and surgical interventions.
Before Orthognathic Jaw Surgery
After Orthognathic Jaw Surgery
Case Study 4 - OMT & Orthodontics
This 15-year-old had OMT during orthodontic treatment to stabilize his jaw and tongue postures for long-term orthodontic stability.
Before
After

Lollipop Thumbstop Habit Elimination Program
Case Study 1 - Thumb Sucking/Hair Pulling
This almost 4-year-old girl had a thumb-sucking habit accompanied by a hair pulling habit. She was very successful in eliminating her oral habit on the first day. She participated in the Lollipop ThumbStop Habit Elimination program by East Texas Orofacial Myology proven to help children eliminate their noxious oral habits. With the thumb-sucking cessation, the secondary hair pulling habit was eliminated as well.
Before Lollipop ThumbStop
After Lollipop ThumbStop
Case Study 2 - Finger Sucking
This 5-year-old participated in the Lollipop ThumbStop Habit Elimination program for her finger sucking habit and successfully eliminated her oral habit. After photos were taken six weeks from the beginning of her therapy.
Before Lollipop ThumbStop
After Lollipop ThumbStop